大黄炭的质量标准研究毕业论文
2020-03-04 08:54:19
摘 要
本论文从大黄炒炭前后没食子酸和5-羟甲基糠醛的含量变化思路出发,通过薄层色谱法初步鉴定了生大黄与大黄炭的含量差异,然后检测了大黄炭样品的浸出率,最后再通过HPLC法进样,检测没食子酸和5-羟甲基糠醛含量的具体变化规律。全文得出的主要结论如下:
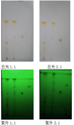
在薄层色谱图中可以明显看到生大黄和大黄炭的图谱中可以找到与没食子酸相对应的黄色斑点(置于空气中一段时间后,黄色斑点变为明显的棕褐色斑点),在紫外光下5-羟甲基糠醛的斑点明显,在大黄炭的色谱图中可以找到对应的斑点,但在生大黄的图谱中并未发现,可以证明生大黄炒炭后有新生成分5-羟甲基糠醛生成。具体的含量变化还需要在HPLC法中得到验证。
选用的大黄炭粉末均达到了药典要求的浸出率含量要求。
1组和2组中没食子酸的含量比较高,可能接近峰值了,5-羟甲基糠醛的含量比较低,可能还处在上升的阶段;3组和4组中没食子酸的含量已经达到中等水平,可能是炮制时间过长,已经过了没食子酸的峰值,5-羟甲基糠醛的含量比较高;5组和6组中的没食子酸含量比较高,略微低于1组和2组,5-羟甲基糠醛的值也较低,这两组的炮制时间只有18min,可能炮制时间是主要原因,还没到没食子酸和5-羟甲基糠醛的峰值;7组和8组的没食子酸含量很高,与1组和2组几乎持平,四组都是炮制了20min,并且7组和8组的5-羟甲基糠醛的含量也是最高的,炮制的效果最好。
关键词:生大黄;大黄炭;没食子酸;5-羟甲基糠醛;高效液相色谱法
Abstract
In this paper, starting from the idea of the content change of gallic acid and 5-hydroxymethylfurfural before and after frying with rhubarb, the differences in the contents of rhubarb and rhubarb charcoal were initially identified by thin-layer chromatography. Then the leaching rate of rhubarb charcoal was tested. Then by HPLC, the specific changes of gallic acid and 5-hydroxymethylfurfural were detected. The main conclusions drawn from the full text are as follows:
It can be clearly seen in the TLC chromatograms that yellow spots corresponding to gallic acid can be found in the spectrum of rhubarb and rhubarb charcoal (after exposure to air for a period of time, the yellow spot becomes a noticeable tan spot) in the UV The spot of 5-hydroxymethylfurfural in light is obvious, and the corresponding spots can be found in the chromatogram of Rhubarb charcoal, but it is not found in the spectrum of Rhubarb, and it can be proved that there is a new component of 5-hydroxymethyl in Rhubarb. Formation of furfural. Specific changes in the content also need to be verified in the HPLC method.
The selected rhubarb charcoal powders meet the leaching rate requirements of the pharmacopoeia.
The content of gallic acid in Group 1 and Group 2 is relatively high and may be close to the peak. The content of 5-hydroxymethylfurfural is relatively low and may still be in an ascending stage; the content of gallic acid in Group 3 and Group 4 has reached a moderate level. The level may be too long, the peak of gallic acid has passed, and the content of 5-hydroxymethylfurfural is relatively high; the content of gallic acid in group 5 and 6 is relatively high, slightly lower than that of group 1 and 2. The value of 5-hydroxymethylfurfural was also low, the processing time of the two groups was only 18 min, the probable processing time was the main reason, and the peaks of gallic acid and 5-hydroxymethylfurfural were not reached; the gallons of group 7 and group 8 were not available. The acid content was very high, almost the same as that of Group 1 and Group 2. The four groups were concocted for 20 minutes, and the contents of 5-hydroxymethylfurfural in Groups 7 and 8 were also the highest, and the effect of concocting was best.
Key Words:rhubarb; rhubarb charcoal; gallic acid; 5-hydroxymethylfurfural; high performance liquid chromatography
目 录
第1章 绪论 1
1.1 研究背景及意义 1
1.2 研究现状 1
1.3 研究内容 2
第2章 大黄炭的薄层鉴别 3
2.1 引言 3
2.2 实验部分 3
2.2.1 实验材料与仪器 3
2.2.2 对照品溶液的配制 3
2.2.3 供试品溶液的配制 4
2.2.4 展开剂的配制 4
2.2.5 薄层层析 4
2.3 结果与讨论 4
2.3.1 大黄炭与生大黄薄层色谱图比较 5
2.4 本章小结 5
第3章 浸出物的测定 6
3.1 引言 6
3.2 实验部分 6
3.2.1 实验材料与仪器 6
3.2.2 实验方法 7
3.3 结果与讨论 7
3.3.1 实验数据 7
3.3.2 计算浸出率 9
3.4 本章小结 10
第4章 HPLC法同时测定大黄炭中没食子酸和5-羟甲基糠醛的含量 11
4.1 引言 11
4.2 实验仪器与材料 11
4.3 方法与结果 11
4.3.1 大黄炮制品样品的制备 11
4.3.2 色谱条件 12
4.3.3 对照品溶液的制备 12
4.3.4 样品溶液的制备 12
4.3.5 线性关系考察 12
4.3.6 精密度实验 13
4.3.7 稳定性实验 13
4.3.8 重复性实验 13
4.3.9 加样回收率实验 13
4.4 结果与讨论 13
4.4.1 大黄炮制品样品的制备及编号 14
4.4.2 加样回收率测定 14
4.4.3 样品含量测定 15
4.5 本章小结 16
第5章 结论 17
参考文献 18
致谢 19
第1章 绪论
1.1 研究背景及意义
大黄为中医临床上应用最为广泛的中药之一,现市面上流行的大黄为蓼科植物掌叶大黄Rheum palmatum L.、药用大黄 Rheum officinale Bail.或唐古特大黄Rheum tanguticum Maxim.ex Balf.的干燥根及根茎[1]。常常会组方不同的炮制品入药,将其独特的治疗作用发挥到极致。生大黄气味重、浊,走而不守(药的性能善于走窜于身体而不固守于某一处),直达下焦,以泻火解毒、攻积泻滞为主,泻下作用峻烈,易伤胃气;大黄酒炙后泻下作用稍缓,并借酒升提之性,引药上行,可清上焦实热;醋大黄泻下作用减弱,以消积化瘀为主,用于食积痞满,症瘕癖积;熟大黄经酒蒸后,泻下作用缓和,能减轻腹痛等副作用,并增强了活血祛瘀的功效;大黄炭泻下作用很弱,并有止血作用,用于大肠有积滞的大便下血[20]。大黄炭是大黄的一种炮制品,其泻下作用减弱,以凉血化瘀止血为主,用于血热有瘀出血症。
在很多临床药理实验中发现,大黄收敛止血作用的主要成分有鞣质、d-儿茶素和没食子酸,文献报道进行大黄炭凝胶制剂的工艺和质量标准研究发现,大黄炭和生大黄的色谱图比较,没食子酸的含量有所增加,更为显著的是没食子酸峰附近有新的峰产生,峰面积较大,可能大黄炒炭后有新的物质生成,含量较高,经鉴定为5-羟甲基糠醛。
5-羟甲基糠醛是葡萄糖、果糖等糖类化合物,在高温、酸性条件或者微生物的作用下,脱水产生的一种醛类化合物。5-羟甲基糠醛自身本无色,但是其聚合物为有色物质,色泽的深浅与5-羟甲基糠醛的含量相关[2]。有报道称,5-羟甲基糠醛对人体的内脏和横纹肌有伤害,具有神经毒性,5-羟甲基糠醛能结合人体蛋白质,产生积蓄中毒。大多数含单糖类的药材经加热炮制后,5-羟甲基糠醛的含量会增加。加热的温度、时间,一般情况下都会使5-羟甲基糠醛含量呈规律性变化,都是影响5-羟甲基糠醛的首要因素[3,4],生大黄中是不含5-羟甲基糠醛的,炒炭后,大黄炭中5-羟甲基糠醛的含量会显著增加,所以可以通过测定5-羟甲基糠醛的含量,来直观反映大黄炭的质量;而且5-羟甲基糠醛具有抗心肌缺血、抗氧化、改善血液流动等作用,所以研究5-羟甲基糠醛质量标准具有重要意义。
1.2 研究现状
产生大黄止血作用的化学成分,目前还处于研究阶段。从一些研究大黄炒炭前后化学成分的指纹图谱和含量变化的相关文献中,不难发现,大黄的化学成分极其复杂,主要化学成分包括蒽醌衍生物(约3%~5%)和鞣质(约10%~30%)等。鞣质也称为单宁,是一类复杂的多元酚类化合物,具有沉淀蛋白质性,还具有水溶性。经过前辈们的研究,鞣质的生理活性被不断地发现和认识,研究表明,鞣质不仅能抑制生物体内过剩的自由基,还有降低血清尿素氮的作用。此外,鞣质也具有一定的收敛性。内服可治胃肠道水泻、溃疡和出血,外用可治创伤、灼伤,还可凝固渗出物中的蛋白质,使创面微血管收缩,为大黄止血作用的重要活性成分之一[17]。
大黄炒炭后,其所含主要成分的含量下降,特别是大黄酚的含量,下降明显,这与其他学者研究结果相一致[5],可能是因为酚类成分受热会不稳定。大黄炒炭后,药物的止血作用会变强;但在炮制的过程中,随着温度的变高、加热时间变长、大黄所含的结合蒽醌会遭到破坏,含量降低,而炮制温度对鞣质的含量影响不大,只有在温度过高时,鞣质类成分才会受到不同程度地破坏[6]。所以,大黄炒炭前后,结合蒽醌的含量降低明显,鞣质含量基本不变 [7]。同时产生有吸附作用的炭,能发挥止血止泻的功效。前人们的研究结果显示,除了大黄里蒽醌类成分的作用外,大黄炭止血作用的药效物质基础,还包含其他成分的综合作用,这也反映了中药多靶点、多成分的作用特点。另外,临床上应用大黄止血的临床试验结果表明大黄炭的止血作用比生大黄的效果更好[8]。这些现象的产生可能跟大黄炒炭后没食子酸和5-羟甲基糠醛的含量变化有关。
1.3研究内容
本论文主要是依据药典上大黄的鉴别、浸出物的测定和含量测定等方法,对大黄炭进行检测。
(1)第一阶段,先采用薄层色谱法,以生大黄和大黄炭制备供试品溶液,用没食子酸和5-羟甲基糠醛的乙醇溶液作为对照品溶液,观察紫外灯下薄层色谱图的情况,分析大黄炒炭前后,没食子酸和5-羟甲基糠醛的含量变化。
(2)第二阶段,按照经验,在炮制效果最好的条件下炮制八组样品,根据2015年版药典规定,采用热浸法来测定水溶性浸出物的含量。
(3)第三阶段,采用HPLC法将炮制好的样品进样检测,根据峰面积,计算没食子酸和5-羟甲基糠醛的含量。
第二章:大黄炭的薄层鉴别
2.1 引言
生大黄的性状:大黄本品一般为不规则块状,有类圆柱形、圆锥形或卵圆形等,长度在约3到17cm之间,直径不超过10cm。生大黄外皮呈棕褐色,大多都有绳孔及粗皱纹。去除大黄外皮,可以看到其表面显黄棕色或红棕色,有的能见到类白色网状纹理及星点(异型维管束)。大黄质地坚实,部分本品中心松软,断面有颗粒性;根茎髓部宽广,有星点散在或环列;根木部发达,具有放射状纹理,形成层环明显,无星点。气清香,味苦而微涩,咀嚼会粘牙,有砂粒感[18]。
大黄炭的性状:表面呈焦黑色,断面呈焦褐色,质轻且脆。有焦香气,味微苦。
没食子酸是大黄所含的一种鞣质单体,有文献指出大黄炮制前后没食子酸的含量会有所增加,这是因为大黄中含有大量可水解的鞣质、复合鞣质以及含有没食子酰基的苷类成分,生大黄在高温、长时间加热炮制条件下会被分解,因此,没食子酸含量会大幅度增加[9]。没食子酸的含量变化可以通过在薄层色谱中观察斑点大小做出初步的判断,若无法分辨时,可以通过HPLC法进行测定。
地黄炮制后有新生成分5-羟甲基糠醛产生,在中药何首乌炮制后也有新生成分5-羟甲基糠醛生成,都是美拉德反应(Maillard reaction)的产物之一[19]。美拉德反应广泛地存在于含糖的中药煎煮和加热炮制过程中,不妨设想,在大黄的炮制过程中也有5-羟甲基糠醛生成。
2.2实验部分
2.2.1实验材料与仪器
材料:硅胶G、羧甲基纤维素钠、生大黄粉末、大黄炭粉末(经生大黄炮制得)、没食子酸对照品和5-羟甲基糠醛对照品;实际均为分析纯,水是纯化水;
仪器:超声波清洗器、层析缸、紫外灯、硅胶G254薄层层析板和自制的硅胶G薄层板(含0.4%羧甲基纤维素钠,规格100mm×200mm,厚度约0.5mm)。
2.2.2对照品溶液的配制
取没食子酸乙醇溶液(12.2mg/10ml)1ml,加热蒸干,再用无水乙醇溶解,提取没食子酸,制成1mg·ml-1的对照品溶液。
- 羟甲基糠醛乙醇溶液的浓度为5.1mg/10ml,接近所要求的0.5mg·ml-1,直接取1ml即可。
2.2.3供试品溶液的配制
取生大黄和大黄炭粉末各1.5g,各加20ml 70%乙醇溶液溶解,超声处理30min,过滤,滤液蒸干,用无水乙醇溶液溶解、收集作为供试品溶液。
2.2.4展开剂的配制
查阅相关文献[10],用薄层色谱法鉴别时采用三氯甲烷-甲酸乙酯-甲酸(5:5:1)的展开剂,经过一次次地尝试,更改展开剂溶液的比例,一系列的实验结果进行对比之后,发现三氯甲烷-甲酸乙酯-甲酸(5:5:1)为展开剂时,展开效果最佳,在实验过程中,取三氯甲烷溶液5ml,甲酸乙酯溶液5ml,甲酸溶液1ml。
2.2.5薄层层析
照薄层色谱法(2015版一部《药典》)进行试验,实验开始时,第一步,将展开剂(现配的5ml三氯甲烷、5ml甲酸乙酯、1ml甲酸混合溶液)加入层析缸中,预饱和10min;第二步,吸取对照液溶液及供试品溶液各10μl,分别点于同一薄层板上,再将点样后的薄层板放入层析缸中,预饱和10-15min;最后等薄层板上行展开10cm左右时,取出,晾干,在紫外灯下观察。
2.3结果与讨论
实验正式开始的前一阶段,用自制的硅胶G板做了一个预实验,选取了不同的展开剂,找到展开效果最好的展开剂,首先使用石油醚(30~60℃)-甲酸乙酯-甲酸(15:5:1)的上层溶液作为展开剂但是效果不佳,后来参考一些相关的文献,与导师讨论后,选择比例为5:5:1的三氯甲烷-甲酸乙酯-甲酸混合溶液作为展开剂,效果还不错,为了让显色更加准确、明显,我尝试了不同的比例,有5:5:2的三氯甲烷-甲酸乙酯-甲酸混合溶液和1:1:0.1的三氯甲烷-甲酸乙酯-甲酸,最后比较了三者的展开时间和最后的显色情况,决定就用比例为5:5:1的三氯甲烷-甲酸乙酯-甲酸作为展开剂。
由于开始阶段为了摸索实验条件,选择最佳的展开剂,找到最合适的展开时间,前面都用的自制的硅胶G板,能够准确的找到了没食子酸对照品的显色位置,在生大黄供试品和大黄炭供试品的相应位置也能找到对应的显相同颜色的黄色斑点,但是大小会不同,但并未找到5-羟甲基糠醛的显色点。后来换用硅胶G254的薄层板点样,展开后在紫外灯下观察,在没食子酸的黄色斑点上方,找到了5-羟甲基糠醛图谱的显色点,在大黄炭供试品的相应位置有显相同颜色的黄色斑点,且生大黄供试品中并未发现。结果表明,生大黄炒炭后会有新生成分5-羟甲基糠醛生成,没食子酸含量有所增加。
2.3.1大黄炭与生大黄薄层色谱图比较



