瑞加诺生注射液血管刺激性试验研究毕业论文
2020-06-19 22:17:57
摘 要
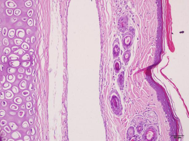
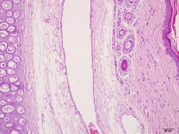
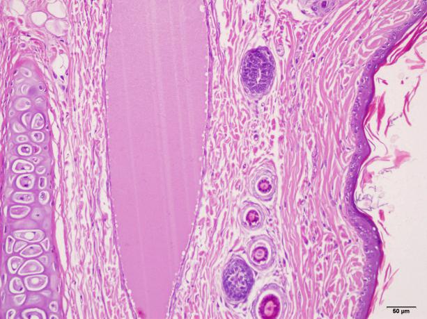
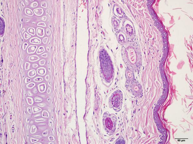
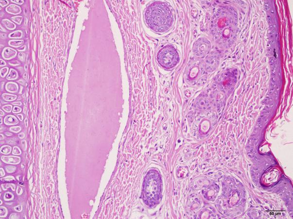
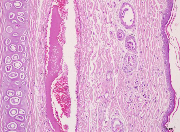
目的:本篇论文建立了瑞加诺生注射液血管刺激性试验的方法,对注射用瑞加诺生进行了局部刺激性试验。观察兔耳耳缘恒流泵静脉注射瑞加诺生注射液后血管刺激情况,为临床用药提供参考。方法:本实验需要5只新西兰兔(3雌2雄),每天1次,连续3天兔左耳耳缘静脉注射瑞加诺生注射液,右耳同种方法注射等体积9%氯化钠溶液,并在末次给药72h后处死三只(2雌1雄)新西兰兔,剩余2只(1雌1雄)实验动物在14天恢复期结束后处死,并把兔耳送检经过脱水、包埋、切片、染色和光镜检查等一系列步骤后,得出瑞加诺生是否对血管有刺激性的结论。结果:病理检查结果显示,在给药期给药侧,各例兔耳血管管壁完整,各层组织结构正常,血管内皮细胞没有肿胀、坏死、脱落,血管内部没有形成血栓,血管周围也没有充血、肿胀和炎细胞浸润现象;对照侧兔耳也未见明显刺激性症状。恢复期,兔耳血管给药侧和对照侧均正常,未见明显的刺激性变化。结论:瑞加诺生对兔耳血管没有刺激性和毒性,且恢复期也未出现迟发性病理改变。
关键词:瑞加诺生注射液 恒流泵 血管刺激性试验
Experimental Study on Vascular Stimulation of Regadenoson Injection
Abstract
Objective: In this paper, we established a method for the vascular irritation of the regimen injection. The local irritation test was performed on the rabbits.To observe the blood vessel irritation after intravenous injection of Regadenoson injection in rabbits ear ear constant flow pump, and to provide reference for clinical medication.Methods: Five New Zealand rabbits (3 females and 2 males) were given once a day for 3 consecutive days. Rabbits were injected intravenously with dexamethasone injection. The right ear was injected with an equal volume of 9% sodium chloride(2 female and 1 male) New Zealand rabbits were sacrificed at the end of the 14-day convalescence period. The animals were sacrificed at the end of the 14-day recovery period.And the rabbit ear after the inspection by dehydration, embedding, slicing, dyeing and light microscopy and a series of steps, the regimen whether the blood vessels have a stimulating conclusion.Results: The results of pathological examination showed that, in the administration side of the administration, the vascular wall of the rabbit ear was intact, the tissue structure of each layer was normal, Vascular endothelial cells without swelling, necrosis, shedding, blood vessels do not form thrombus, blood vessels around no congestion, swelling and inflammatory cell infiltration phenomenon;control side rabbit ears also no obvious irritation symptoms.Recovery period, rabbit ear blood side and control side were normal, no significant changes in irritation.Conclusion: Regadenoson did not have irritation and toxicity to rabbit ear blood vessels, and there was no delayed pathological change in convalescence.
Key words: Regadenoson injection;Constant current pump;Vascular irritation test
目录
摘 要.........................................................................................................................Ⅰ
Abstract.......................................................................................................................Ⅱ
第一章 文献综述..........................................................................................................1
1.瑞加诺生相关知识及结构.................................................................................1
2.药动学相关知识.................................................................................................1
3.临床应用.............................................................................................................1
3.1用于激发心脏试验和心肌灌注显像.......................................................1
3.2用于增加BBB的通透性...........................................................................2
4.实验前准备........................................................................................................2
4.1实验动物的选择.......................................................................................2
4.2实验方法...................................................................................................2
4.3病理取材...................................................................................................3
4.4病理观察...................................................................................................3
4.5 研究目的与方法.......................................................................................4
4.5.1研究的问题...........................................................................................4
4.5.2研究方法...............................................................................................4
4.5.3实验要求...............................................................................................4
第二章 试验材料........................................................................................................5
2.1 仪器...............................................................................................................5
2.2试剂..................................................................................................................5
2.3 实验系统.........................................................................................................6
2.3.1实验动物...............................................................................................6
2.3.2实验系统的选择理由...........................................................................6
2.3.3饲养标识和动物识别...........................................................................6
2.3.4实验动物的饲养管理.........................................................................7
2.3.4.1饲养环境.........................................................................................7
2.3.4.2饲料.................................................................................................7
2.3.4.3饮用水.............................................................................................7
2.3.4.4动物的检疫与适应.........................................................................8
2.3.5试验后动物的处理...............................................................................8
2.3.6动物尸体及废弃物的处理...................................................................8
第三章 瑞加诺生注射液血管刺激性试验研究..........................................................9
3.1实验设计..........................................................................................................9
3.1.1给药剂量及选择理由..................................................................................9
相关图片展示:








        
            
