氧化葡萄糖酸杆菌老黄酶G0的酶学性质研究毕业论文
2020-05-15 22:26:33
摘 要
老黄酶是最早被发现的含有核黄素的酶,它能够还原C=C双键,形成单一的手性,在医药,化学和农业上有着广阔的应用前景。本课题从氧化葡萄糖酸杆菌H24中克隆出一条老黄酶基因GoOYE,并以大肠杆菌为宿主构建表达GoOYE的重组菌,表达纯化后对该酶的酶学性质(包括温度、pH、底物谱、有机溶剂、手性等)进行研究。本实验底物和产物使用气相和液相分析方法进行检测。
在对温度和pH酶学性质的研究中发现GoOYE在50℃时12h后的酶活已完全丧失[1],老黄酶GoOYE的最适pH大约在8.5左右。
在对底物谱的研究中发现老黄酶GoOYE对酰亚胺及其衍生物[3]、α,β-不饱和醛酮和萜类有一定的活性,但是对硝基烯类、酸酐类和羧酸类几乎没有活性,
在对动力学参数的研究中发现老黄酶GoOYE对NADPH亲和力和催化效率较高[2],其催化效率达到了389.98s-1mM-1。从kcat/Km的数据可看出 GoOYE仅在马来酸二甲酯上有明显优势。
在催化性质的研究中发现GoOYE的转化率较高,有一定的研究前景。
关键词: 老黄酶 碳碳双键还原 性质研究 基因突变
The Study on the enzymatic properties of GoOYE from
Gluconobacter oxydans H24
Abstract
Old yellow enzyme is the earliest discovered containing riboflavin enzyme. It can make a reduction of C = C double bond to form a single chiral, in the pharmaceutical, chemical and agriculture has a broad application prospect. This topic from Gluconobacter oxydans H24 cloned a old yellow enzyme gene GoOYE, and Escherichia coli as host to construct expression recombinant bacteria of GoOYE, expression after purification of the enzyme enzymatic properties (including temperature, pH, substrate spectrum, organic solvent, chiral, etc.) were studied. The experimental substrates and products were detected using gas and liquid phase analysis methods.
In the study of temperature and pH enzymatic properties, we found GoOYE at 50 ℃ after 12h of enzyme activity has completely lost, the optimum pH of Oye GoOYE is about 8.5.
In the substrate spectrum study ,we found old yellow enzyme GoOYE and their derivatives have certain activity about imides , alpha and beta unsaturated aldehydes, ketones and terpenoids , but they have no activity about nitro alkene, anhydride and carboxylic acid almost , in the study of kinetic parameters,we found old yellow enzyme GoOYE of NADPH affinity and catalytic efficiency higher, the catalytic efficiency reached 389.98s-1mM-1. The data from kcat/Km can be seen that GoOYE has an obvious advantage only in maleic acid two methyl ester.
In the study of catalytic properties, the E.E. value of GoOYE is not high, but the conversion rate is relatively high,which has certain research prospects.
Keywords: Oye carbon carbon double bond reduction the study of properties gene mutation
目 录
摘 要 I
Abstract Ⅱ
第一章 文献综述 1
1.3 老黄酶催化的不对称还原反应 2
1.3.2 α,β-不饱和酰亚胺其衍生物 3
1.3.3 α,β-不饱和羧酸及其衍生物 3
1.3.4 α,β-不饱和内酯类 4
1.3.5 萜类和硝基烯类 4
第二章 实验材料与方法 6
2.1实验材料 6
2.1.1实验仪器 6
2.1.2 实验试剂 7
2.1.3工具酶和试剂盒 9
2.1.4菌株与质粒 10
2.1.5培养基和培养方法 11
2.2 实验方法 11
2.2.1氧化葡萄糖酸杆菌老黄酶GoOYE基因的克隆与表达 11
2.2.2 缓冲体系对老黄酶GoOYE的影响 15
2.2.3 老黄酶GoOYE的最适温度和温度稳定性研究 15
2.2.4 老黄酶GoOYE的最适pH和pH稳定性研究 15
2.2.5老黄酶GoOYE的底物谱研究 16
2.2.6老黄酶GoOYE的动力学参数研究 18
2.2.7 老黄酶GoOYE的催化性质研究 18
第三章 实验结果与讨论 20
3.1 GoOYE基因的克隆与表达 20
3.1.1 GoOYE基因的克隆 20
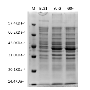
3.1.2GoOYE基因的表达 21
3.1.3 老黄酶GoOYE基因的纯化 22
3.2 老黄酶GoOYE的酶学性质研究 23
3.2.1 缓冲体系对老黄酶GoOYE的影响 23
3.2.2 老黄酶GoOYE的最适温度和温度稳定性研究 23
3.2.3 老黄酶GoOYE的最适pH和pH稳定性研究 25
3.2.4 老黄酶GoOYE的底物谱研究 27
3.2.5 老黄酶GoOYE的动力学参数研究 30
3.2.6 老黄酶GoOYE的催化性质研究 31
第四章 结论与展望 33
4.1 结论 33
4.2 展望 33
参考文献 35
致谢 37
相关图片展示:









