基于GAN的医学图像分割毕业论文
2020-02-17 21:58:59
摘 要
肿瘤分割是通过医学图像自动检测各种疾病不可或缺的一步。肝癌是目前世界上最普遍的癌症之一,严重威胁着人类的生命健康。在肝癌的检查、诊断和治疗的过程中,实现肝脏肿瘤的自动化精准分割,具有重要的临床价值。尽管已经提出了许多方法,但是现存的方法常需引入先验信息,分割效率较低。因此在CT图像下研究基于U-net的肝脏肿瘤分割技术,具有极大的应用价值。
本文从两个方面对传统的U-net网络的肝脏肿瘤分割模型进行了改进。首先,设计了一种CT图像的预处理模块,并将其与主体分割网络进行联合训练,在分割目标的驱动下学习到最优的预处理方式,避免了手动设计预处理参数带来的主观性,同时形成了一个完全端到端的肿瘤分割框架;其次,设计了一种编码器-解码器架构的新型分割网络,通过编码器模块内的Dense连接,更好地完成了深度网络的高效训练。
我们的方法在LiST数据集上实现了较好的分割性能,相比于没有进行改进的U-net分割方法而言,取得了更好的肿瘤分割指标。
关键词:肿瘤分割;卷积神经网络;U-net;医学图像分析
Abstract
Tumor segmentation is an indispensable step for automatic detection of various diseases with medical images. Liver cancer is one of the most common cancers in the world and is a serious threat to human health. Liver cancer therapy procedures, including examination, diagnosis and treatment, would benefit from an automatic and accurate liver tumor segmentation. Though many approaches have been proposed, existing methods tend to introduce prior information, and the segmentation efficiency is low. Therefore developing an automatic liver tumor segmentation algorithm in CT images is of great clinical significance.
We improved the traditional UNet-based liver tumor segmentation methods from two aspects. Firstly, a CT image preprocessing module is designed and integrated with the follow-up segmentation network to learn the optimal preprocessing parameters driven by the training process, which avoids the subjectivity of the traditional predefined way to preprocess CT images and forms an end-to-end segmentation framework, simultaneously. Secondly, we developed a new segmentation network under the encoder-decoder framework. Through the intra-block dense connections in the encoder module, the proposed network is effectively trained.
Our method achieves better segmentation performance on the LiST dataset, and a better tumor segmentation index is obtained compared to the U-net segmentation method without improvement.
Key Words:Tumor Segmentation; Convolutional Neural Networks; U-net; Medical Image Analysis
目 录
摘要 I
Abstract II
1 绪论 1
1.1 引言 1
1.2 相关工作 2
2 图像分割的基本算法 4
2.1 基于像素的分割方法 4
2.1.1 阈值法 4
2.1.2 线性滤波器 4
2.1.3 基于直方图的方法 4
2.2 基于区域的分割方法 4
2.2.1 区域生长 5
2.2.2 分水岭方法 5
2.2.3 分裂合并 5
2.2.4 非线性滤波器 5
2.3 基于边缘的分割方法 5
2.3.1 灰度直方图 6
2.3.2 基于梯度的方法 6
2.3.3 基于边界的方法 6
2.4 基于聚类的分割方法 6
2.4.1 K-mean算法 6
2.4.2 模糊C-mean算法 6
2.4.3 期望最大化 7
2.4.4 Ant-Tree算法 7
2.4.5 分层聚类 7
2.5 基于模型的分割方法 7
2.5.1 蛇形 7
2.5.2 置信度传播 8
2.5.3 马尔可夫随机场 8
2.6 基于人工神经网络的分割方法 9
2.6.1 前馈网络 10
2.6.2 径向基函数网络 10
2.6.3 反馈网络 10
2.6.4 自组织映射 10
2.7 可变形模型 11
2.8 图谱引导方法 11
2.9 传统U-NET网络 12
3 基于U-net改进的医学图像分割 13
3.1 CT窗口优化的预处理设计 13
3.1.1 CT图像的基础知识 13
3.1.2 传统的CT图像预处理方式 14
3.1.3 CT窗口优化的预处理设计 15
3.2 基于DENSE连接的模型设计 16
3.2.1 基于DenseNet的编码器设计 17
3.2.2 基于Skip连接的解码器设计 20
3.3 损失函数设计 21
4 实验结果及分析 23
4.1 数据集 23
4.2 评价指标 23
4.3 模型部分 24
5 总结 27
参考文献 28
致谢 30
1 绪论
1.1 引言
从医学图像中自动分割出目标是一个较大挑战,因为医学图像具有更高的复杂性且缺乏简单的线性特征。现有的医学图像分割算法可分为以下几类:1、基于区域的分割方法。该方法通过识别图像中对应于不同对象的不同均匀区域来分割图像,但该方法对噪声非常敏感并且易于产生分割偏差和过分割。2、基于边缘的分割方法。该方法根据图像中对象的边缘梯度特征分割图像,但其性能受图像弱边缘、伪边缘和噪声的影响。3、基于分类的分割方法,这类方法根据某一特定标准,对图像中每个像素进行分类和标记。该方法主要包括基于阈值的分割算法、基于统计的分割算法和基于聚类的分割算法。在基于阈值的分割方法中,合适阈值的选取是非常困难的。在基于统计的分割方法中,分割结果的精确性较大程度上依赖于初始参数的选择。基于聚类的分割方法的计算复杂度相对较高。4、基于深度学习的算法。深度学习在诸多领域取得了突破,但是也存在一些问题:首先,它通常假设训练数据与测试数据服从相同的分布,而实际上两者存在一定的偏差,即过拟合问题;另一个问题是基于CNN的图像分割是基于图像块分类的方法,将整张图像划分成图像块,对每个图像块提取特征,来预测其中心像素点的类别。这种方法比较低效,包含很多的重复计算,并且损失了图像的全局信息。
U-net就是为了解决上述问题而被提出的一种方法,整个神经网络主要由两部分组成:收缩路径和扩张路径,即上采样和下采样。收缩路径是用来获取上下文信息的,而扩张路径是为了获取细节信息的,并且在上采样的过程中,U-net结合了下采样各层信息,使得分割网络能够很好地将上下文信息和细节信息兼容。我们通过研究分析基于U-net改进的方法在医学图像分割中的应用,来缩短诊断时间,达到精确治疗的目的。
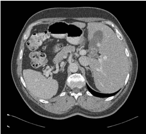
全球每年因癌症死亡的人数中,肝癌患者占据了很大的比例。根据最新的2018年全球癌症统计数据,肝癌患者的人数在所有新增癌症患者中占比排名第六,肝癌的死亡人数在所有癌症死亡人数中占比排名第四。放射科医师和肿瘤学家通过分析肝脏区域的CT图像(如图1-1所示),来研究肝脏组织的大小、形状和纹理异常,从而进行肝脏肿瘤的诊断和治疗。

图1-1 肝脏区域CT图像
目前肝脏肿瘤的治疗方法主要包括手术切除、消融治疗、放射治疗。手术切除是应用最广泛的根治性措施,但肿瘤的大小、位置和数量等因素决定着能否进行切除手术以及术后的疗效;消融治疗通过射频、微波、激光等能量使肝脏病灶组织坏死和灭活;放射治疗是对肿瘤区域发射高能的射线来杀死癌细胞。因此,基于肝脏区域的医学影像实现肝脏肿瘤的精准分割是肝脏肿瘤治疗的首要任务。
传统的肝脏肿瘤分割需要有经验的放射科医师手动进行肿瘤的识别、标注和分割,费时费力,同时分割结果严重依赖于不同医师的经验和主观判断,可再现性差。因此发展基于医学影像的计算机辅助诊断技术(Computer Aided Diagnosis, CAD)对肝脏肿瘤的临床诊断治疗具有重大的实用价值,借助肝脏肿瘤自动分割算法,一方面可以减轻专业医师手动分割的工作负担,另一方面可以降低因医师的知识经验差异而带来的诊断误差,进而提升肿瘤分割的精度。一个准确高效的肝脏肿瘤分割算法对于术前预判、术中监测和术后评估都有着重要的指导意义。
然而,目前肝脏肿瘤的自动化精准分割仍然是医学图像处理领域研究的难点。首先,肿瘤的大小不一、形状多变,位置和数目也不固定;其次,不同的成像设备与图像采集方案、不同的造影剂、不同水平的对比度增强和不同的扫描分辨率等因素,都会给肝脏和肿瘤的成像带来不可预测的强度差异,造成边界模糊、密度和灰度不均、噪声干扰等问题。以上这些都对肝脏肿瘤的自动化精准分割算法提出了很高的要求。
1.2 相关工作
目前,为了提高医学图像分割的准确度,许多国内外研究者进行了各种方法的探讨与研究。就国内而言,有舒添慧[1]等人提出的基于区域生长的分割方法,李俊[2]等提出的基于水平集的分割方法,戴青云[3]等提出的小波变换与数学形态学结合的算法,洪文松[4]等提出的基于广义模糊集合的邻域加权预处理算法。但传统方法通常仅处理特定的图像,并且没有方法可以自动且有效地分割所有模态图像。此外,现有方法在处理复杂的实际医学临床数据时,仍然面临着一些困难。
就国外而言,通常,研究人员使用像素或体素损失(例如交叉熵)进行分割。Vorontsov[5]等提出了一种半自动分割算法,先训练一个SVM分类器,对输入CT图像的每个像素进行肿瘤和非肿瘤的二分类,用到的特征包括局部纹理信息和一阶局部统计信息,然后利用可形变表面模型(Deformable Surface Model)对前一阶段得到的二分类结果进行优化。Shimizu[6]等人和Li[7]等人都使用Adaboost算法对像素进行肿瘤和背景的二分类,但Shimizu使用的主要是纹理特征,而Li使用的主要是强度特征。Massopitier[8]等人先通过动态轮廓的方法分割肝脏,然后在肝脏的分割结果上使用K-Means聚类的方法来分割肿瘤。Stawiaski[9]等人提出了一种交互式分割算法,先使用图割方法(Graph Cut)得到初步的分割结果,然后使用分水岭算法进行优化。
传统的机器学习方法需要人工提取特征,而深度学习在训练过程中实现了特征的自动提取。Long[10]等人提出的全卷积网络(Fully Convolutional Network,FCN)则又推动图像分割领域向前跨了一大步。FCN能够做到端与端、像素对像素的训练和预测。FCN的另一个优点是其输入图像可以是任意大小,传统的CNN由于全连接层的存在,其输入图像只能是固定大小。但是,FCN得到的结果还不够精细。Olaf[11]等人提出的U-net基于FCN进行改进,并且利用数据增强(data augmentation)来对较少样本的数据进行训练。Chlebus[12]等人设计了一个28层的类UNet框架,同时训练了一个随机森林模型来过滤那些假阳性(False Positive)的肿瘤区域。
本课题针对改进的U-net用于医学图像分割算法的研究,与先前传统的U-net应用不同,改进后的U-net能更准确地从不同的医学图像中分割出感兴趣的区域。
2 图像分割的基本算法
2.1 基于像素的分割方法
使用基于像素的技术,基于每个像素的灰度值,每个像素被一个接一个的分割,一次一个,没有关于结构的背景信息或任何先前形状的知识来用于分割。
2.1.1 阈值法
阈值处理是最简单和广泛使用的图像分割技术。该方法基于将灰度图像转换为二值图像的阈值。将灰度图像转换为二值图像的最常用的方法是选择单个阈值(T),然后低于T的所有灰度值将被分类为黑色(0),高于T的被分为白色(1)。二值图像应该包含感兴趣对象的位置和形状的所有基本信息。给定图像f(x,y)和阈值T,阈值图像g(x,y)可以定义为:
(2-1)
阈值分割技术可以分为:全局阈值和自适应阈值。在全局阈值中,整个图像使用单个阈值;在局部阈值中,阈值被分配给每个像素,以使用像素周围的局部信息确定它是属于前景还是背景像素。
基于阈值的方法的优点在于它对于分别具有不同灰度值的均匀亮度的目标和背景能够很好地分割出来。同时,它也是简单而又功能强大的方法,用于分割在深色背景上的有光对象。但是,它主要的缺点是对于有多个对象且每个对象的灰度值不同图像不能很好地工作,很难检测到正确的阈值。
2.1.2 线性滤波器
应用这些技术是为了减少噪声和/或准备用于分割的图像或直接用于分割。高斯,导数,均值,梯度,拉普拉斯算子,维纳,移动平均,低通,带通,高通,带阻,希尔伯特滤波器是线性滤波器分割中的一些重要滤波器。
2.1.3 基于直方图的方法
与其他方法相比,基于直方图的方法是有效且不太复杂的,因为它们仅需要一次像素扫描。这里,峰和谷基于颜色或强度定位感兴趣的区域。通过在较小区域上递归地应用算法,可以进一步细化该方法以定位较小区域。
2.2 基于区域的分割方法
2.2.1 区域生长
区域生长技术涉及根据同质标准选择初始种子点并将相邻像素添加到该区域。继续该过程直到所有像素属于某个区域。该算法因其计算简单而被广泛使用。这种方法的主要缺点是它倾向于泄漏到与要分割的结构具有相似强度的相邻物体中。
2.2.2 分水岭方法
该方法将图像的梯度大小视为地形表面。图像看起来像一个表面,其中明亮像素被视为山顶,而暗像素被视为山谷。有些山谷有穿孔,它们会慢慢融入水中,然后开始填充山谷。但如果水来自不同的穿孔,则不允许混合。因此,大坝建在接触点,使水坝作为水和图像目标的边界。排放到共同最小值的像素形成一个集水区,代表一个区段。
2.2.3 分裂合并
在该方法中,根据某些标准将图像分割成各种区域,然后将其合并。该方法将一组种子与图像一起作为输入。种子标记了每个要分割的对象。区域生长最普遍的方法是从最初作为单个区域的整个图像开始。使用标准偏差计算内部相似性。如果发生太多变化,则使用阈值将图像分割成区域。重复这一过程,直到不再进一步分裂为止。合并与区域分裂刚好相反。在合并阶段,如果它们相邻且相似,则合并两个区域。可以通过比较平均灰度级或使用统计检验来测量相似性。
2.2.4 非线性滤波器
另一类基于区域的方法是过滤(非线性)的方法。在医学图像中,图像滤波器主要用于点、边缘或管检测。在许多文献出版物中,这些方法形成独立的分类算法类别。非线性滤波器包含像素之间的局部关系,以便对图像中的像素进行分类。一些常用的非线性滤波器有:中值滤波器,最小滤波器,最大滤波器,平均移位滤波器,熵滤波器,角滤波器,岭滤波器,Kuwahara滤波器和双边滤波器。
2.3 基于边缘的分割方法
该技术确定图像中边缘或线的存在,并以适当的方式概述它们。边缘检测的主要目的是简化图像数据,以便最小化要处理的数据量。通常,边缘被定义为连接两个独立区域的边界像素。检测操作开始于检查图像中每个像素元素的局部不连续性。有两种基于边缘的主要分割方法:灰度直方图和基于梯度的方法。
2.3.1 灰度直方图
该技术也是基于像素的方法。这里边缘检测技术的结果主要取决于阈值T的选择。
2.3.2 基于梯度的方法
在该方法中,考虑两个相邻像素值之间的差异。因此,当边缘附近的强度发生突然变化并且图像噪声很小时,基于梯度的方法效果很好。基于梯度的方法的常用边缘检测算子有sobel算子、canny算子等,canny是最有前景的算子,但与sobel算子相比需要更多的时间。
2.3.3 基于边界的方法
以上是毕业论文大纲或资料介绍,该课题完整毕业论文、开题报告、任务书、程序设计、图纸设计等资料请添加微信获取,微信号:bysjorg。
相关图片展示:









