镍基复合阴极材料对生物电合成醋酸影响毕业论文
2020-04-11 17:40:56
摘 要
近年来,由于对化石燃料的依赖和消耗,产生了大量的二氧化碳,温室效应和环境污染也越发严重。微生物电合成技术作为应对这一问题的关键,更是引起了世界各国的广泛关注。作为微生物电合成系统中重要组成部分的阴极,其比表面积、电活性表面积、电导率和生物相容性都对微生物电合成起到了至关重要的作用,影响到了生物膜的形成和整个系统的性能。许多学者都对微生物电合成系统中的阴极材料进行了多方面的研究。本论文主要研究镍基阴极材料对于微生物电合成系统醋酸产量的影响。本论文利用直流磁控溅射,将镍纳米粒子镀到石墨板上作为阴极材料,并与镍金属阴极、石墨阴极进行比照,通过衡量醋酸的产率,分析出镍基复合阴极材料对微生物电合成醋酸的影响。
关键词:微生物电合成;二氧化碳;醋酸;镍;阴极材料
Abstract
In recent years, due to the dependence and consumption of fossil fuels, a large amount of carbon dioxide has been produced, and the greenhouse effect and environmental pollution have become more serious. As the key to coping with this problem, microbial electrosynthesis technology has aroused widespread concern in countries around the world. As a cathode in the microbial electrosynthesis system, the specific surface area, electroactive surface area, electrical conductivity and biocompatibility all play a crucial role in the microbial electrosynthesis system, affecting the formation of biofilms and the performance of the entire system. Many scholars have conducted researches on the cathode materials in the microbial electrosynthesis system. This topic mainly studies the effect of nickel-based cathode materials on the production of acetate in the microbial electrosynthesis system. In this project, nickel nanoparticles coated cathode is prepared by DC magnetron sputtering, and compared with nickel metal cathode and graphite cathode. By measuring the yield of acetate, the effects of nickel-based composite cathode materials on the microbial electrosynthesis system were analyzed.
Keywords:microbial electrosynthesis;carbon dioxide;acetate;nickel;cathode material
目录
第一章 绪论 1
1.1 研究背景 1
1.2 微生物电合成系统 2
1.2.1 微生物电合成的工作原理 2
1.2.2 微生物电合成的发展历史 3
1.2.3 微生物电合成的研究进展 4
1.3 论文研究的内容、目的和意义 5
1.3.1 论文研究的内容 5
1.3.2 论文研究的目的和意义 6
第二章 实验材料与方法 7
2.1实验材料与仪器 7
2.1.1 实验材料 7
2.1.2 实验仪器 8
2.2 实验方法 9
2.2.1 石墨板电极的处理 9
2.2.2 阴极的制备 10
2.2.3 阴极的处理 10
2.2.4 参比电极的准备 11
2.2.5 电极夹的处理 11
2.2.6 质子交换膜的准备 11
2.2.7 电池的构建 11
2.2.8 实验过程 12
第三章 结果与分析 13
3.1 电导率的检测 13
3.2 电化学分析 13
3.3 醋酸产量的检测 17
第四章 总结与展望 21
4.1 总结 21
4.2 展望 21
参考文献 23
致谢 25
第一章 绪论
1.1 研究背景
全球GDP的快速增长推动了人类对能源的需求,人类对化石燃料的依赖和使用产生了大量的碳排放。尽管能源结构正在调整之中,然而石油、天然气和煤炭仍然是为世界经济提供动力的主导能源,占2035年能源总供给的四分之三以上[1]。化石燃料的大量使用排放出了大量的二氧化碳,打破了自然界碳循环的平衡,造成了温室效应、能源短缺和空气污染等威胁人类生存的问题。联合国开发计划署指出到2020年,全球的碳排放量将达到最大值。
二氧化碳等气体是温室效应的成因。在过去的一百年内,二氧化碳的过量排放导致全球平均地面温度升高了0.8℃左右。经预测,按照这一二氧化碳的排放趋势,到本世纪末期二氧化碳等温室气体会导致更加严重的温室效应,全球平均地面温度将会升高1.1~6.4℃[2]。二氧化碳的大量排放可能会引起气候异常、海平面上升、加剧沙漠化情况、使地表氧气的相对含量降低等后果。
中国现已发展为世界第二大经济体,国内生产总值由改革开放初1978年的3650.2亿元增长到2017年的827122亿元,在近四十年间增长了225.5倍[3]。而中国的碳排放量也在飞速增长,目前中国的碳排放总量约占全球碳排放总量的30%,居世界第一。粗放型的高能耗经济发展模式为中国经济带来了高速发展,高碳排放的现实也给中国带来了巨大的压力,能源的高消耗、低效率制约了中国经济的进一步发展和转型。中国在《巴黎气候协定》中承诺到2030年,碳排放强度较2005年下降60%~65%。因此我们既需要可以替代化石燃料的可再生清洁能源,更需要对大气中的二氧化碳进行资源化利用。
现阶段,二氧化碳的资源化利用主要是利用物理、化学和生物手段,直接对二氧化碳进行循环利用,或将其作为原料来合成其他化学物质或燃料。在二氧化碳的资源化利用中,气体二氧化碳占90%以上,主要用于尿素、碳酸钠、碳酸氢铵和降解塑料的化工生产,催化氢化生产和电化学还原。液态二氧化碳主要用于焊接与切割行业的保护气,有较高的焊接机械强度、易于获取、价格便宜。液体二氧化碳也用于饮料行业的碳酸饮料、啤酒和起泡酒中,又因其化学性质稳定,可阻止细菌生长或氧化,因此也用于食品行业的冷却、冷冻和新鲜蔬果肉类的运输过程中。固体二氧化碳也常用于运输制冷中[4]。二氧化碳的资源化利用多为上述物理和化学手段,传统的生物法通常是借助藻类和生物酶固定二氧化碳,并转化为蛋白质、脂肪酸、燃油、醇、乳酸等产物[5]。
近年来发展起来的微生物电合成技术,则是通过微生物技术进行电化学还原二氧化碳,反应条件温和,在常温常压下即可进行,而且转化效率高,过程中的能耗也较低。
1.2 微生物电合成系统
微生物电合成(microbial electrosynthesis)是一项多学科交叉的技术,它涉及到微生物学、电化学和材料科学等学科[6],也是一种减少二氧化碳、重建碳平衡的新途径。微生物电合成是指微生物利用外界电子,吸收二氧化碳并将其还原为有机物的过程[7]。从一定程度上来说,微生物电合成相当于微生物燃料电池的逆过程,与微生物电解池类似。
1.2.1 微生物电合成的工作原理
该微生物电合成系统与微生物电解池类似,是一个双室电池,由阴极、阳极和外加电源构成。阳极室发生氧化反应,阴极室发生还原反应,电极浸泡于两个电极室的溶液中,阴极室和阳极室之间由质子交换膜隔开,电化学工作站在两电极间施加一恒定电势或电流,供细菌代谢使用。
    
图1.2.1 微生物电合成原理
微生物电合成利用微生物和电能固定二氧化碳,并将其还原为醋酸等多碳有机物,从而实现可持续化利用。实验使用的菌株为同型产乙酸菌,即二氧化碳固定菌,是革兰氏阴性严格厌氧菌的一种,在自然无干扰状态下,把氢气作为电子源,通过Wood-Ljungdahl途径吸收二氧化碳还原为乙酸,这一途径是目前已知的固碳途径中能耗最低的途径[7]。
微生物电化学系统的正常运行依靠的是胞外电子传递,即电子从电极传递到微生物细胞内,这一过程为微生物电合成反应提供能量,也是控制反应效率的关键步骤[8]。大多数产乙酸细菌的库伦效率都高于80%,阴极的电子大部分都用于生成多碳化合物。一般情况下,阴极的电势越高,电流密度就越小,微生物电合成的效率也越低。因此我们希望阴极电势低一些,电流密度和电合成效率则更大。然而电流密度不能过高,否则会使氢气的生产速率过快,影响微生物的附着和生产。
如果微生物电合成系统利用的电能来自于太阳能发电,那么微生物电合成可看作是一种人工光合作用的形式。太阳能是一种巨大的能源来源,但是太阳能的收集储存和使用需求并不能完全同步。通过微生物电合成将太阳能储存在化学键中可能是目前最好的储存方式。微生物电合成提高了太阳能的利用效率,减少了对耕地的需求,避免了集约农业对环境的污染。Nevin等人曾利用太阳能电池板发电,作为Sporomusa ovata吸收二氧化碳生成醋酸的电子源[9]。这一形式与依赖于生物光合作用的生物能源相比有更多优势,它能减少人类对化石燃料的依赖,加速无碳能源的发展,有效地应对全球气候变化。
1.2.2 微生物电合成的发展历史
微生物电合成最早由Hongo等人应用在L-谷氨酸发酵上,他们通过实验发现,外加1.5V电压之后L-谷氨酸的产量与传统厌氧发酵得到的L-谷氨酸相比,增加了10%[9]。基于这一发现,微生物电合成技术陆续应用到合成乳酸、丙酸、丁酸等多碳化合物过程中。由于微生物电合成的库伦效率较高,实验条件简单,反应过程清洁无污染,近年来微生物电合成更多地应用于固定二氧化碳合成多碳有机物如乙酸、乙醇和一些生物燃料的研究中
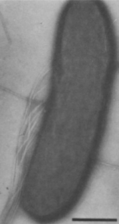
Bernhard等人最早发现了Sporomusa ovata(DSM-2662)。他们从土壤中分离出Sporomusa ovata细菌。它是严格厌氧的革兰氏阴性菌中的新属,细胞略微弯曲,形状呈锥形类似香蕉,往往单个或成对出现。它的发酵底物主要是甜菜碱,可以将氢气和二氧化碳发酵生成大量乙酸和少量的乙醇[10]。下图为Sporomusa ovata(DSM-2662)的形态。

图1.2 Sporomusa ovata(DSM-2662)的电镜照片,细胞的凹侧生长着菌毛[10]
2010年,Nevin等人首次证明了产乙酸细菌(Sporomusa ovata)可以利用电流中的电子把二氧化碳转化为多碳化合物,如乙酸和少量2-氧-丁酸。虽然其持续生产乙酸的能力很强,但产率很低[11]。2011年,Nevin等人发现除了Sporomusa ovata以外,Sporomusa silvacetica和Sporomusa sphaeroides也有电合成的能力,但是电合成的效率比起Sporomusa ovata低了20倍左右,表明Sporomusa属内的不同菌株的生产能力差别较大,Sporomusa ovata更适合进行微生物电合成实验[12]。现在,常用于微生物电合成实验的产乙酸细菌有Sporomusa ovata,Clostridium ljungdahlii,Clostridium aceticum和Moorella thermoacetic等。在这些产乙酸细菌中,Sporomusa ovata(DSM-2662)表现出最好的乙酸体积生产率,为1.13mmol·L-1·d-1[6]。Fariza等人为了提高Sporomusa ovata的生产能力,对培养基中的微量元素进行了优化。他们发现提高培养基中钨酸盐的浓度,醋酸的产量是未改性时的产量的4.4倍[13]。因此本实验使用的改良311培养基中,也加入了钨酸盐溶液提高细菌的乙酸产率。据研究表明,Sporomusa ovata(DSM-2662)是目前最高效的驱动微生物电合成系统的产乙酸菌,因此在本论文中使用的也是Sporomusa ovata(DSM-2662)细菌进行微生物电合成实验。
1.2.3 微生物电合成的研究进展
阴极材料是影响微生物电合成性能的重要因素,直接关系到生物膜的形成、电子传递和最终的产量。在考虑到微生物电合成系统的经济性的同时,提高阴极的电子传递效率也是一个重要的指标。
在过去的几十年中,微生物电合成系统的阴极材料大部分为碳基材料,如碳布、碳纸、石墨棒等。这些碳质材料易于获得、成本较低,但生物相容性较差、比表面积也较小,不利于细菌的附着和生物膜的形成使微生物电合成系统的整体性能较差。而一些三维多孔结构的碳基材料,如碳毡、石墨颗粒、网状玻璃碳,其较高的比表面积更有利于生物膜的形成。然而碳基材料都有电导率和机械强度相对较低的缺陷,这些缺陷使其在大规格电极上的应用受到了限制[6]。
以上是毕业论文大纲或资料介绍,该课题完整毕业论文、开题报告、任务书、程序设计、图纸设计等资料请添加微信获取,微信号:bysjorg。
相关图片展示:







您可能感兴趣的文章
- 用于甲醇制烯烃反应的SAPO-34/ZSM-5复合催化剂的原位水热结晶合成外文翻译资料
 - 硫化氢在活体的化学发光探针成像外文翻译资料
 - 全色发射型ESIPT荧光团对某些酸及其共轭碱负离子识别的颜色变化外文翻译资料
 - 一种用于成像神经元细胞和海马组织中NMDA受体附近内源性ONOO-的双光子荧光探针外文翻译资料
 - 表面功能化的Ui0-66/pebax基超薄复合中控纤维气体分离膜外文翻译资料
 - 金属有机框架中的可逆调节对本二酚/醌反应:固态固定化分子开关外文翻译资料
 - 二维MXene薄片的尺寸相关物理和电化学性质外文翻译资料
 - 将制甲烷的Co催化剂转化为产甲醇的In@Co催化剂外文翻译资料
 - MXene分子筛膜用于高效气体分离外文翻译资料
 - 模板导向合成具有排列通道和增强药物有效荷载的立方环糊精聚合物外文翻译资料
 

        
            
