大肠杆菌导电分子支架的构建毕业论文
2020-05-21 22:14:04
摘 要
21世纪,随着经济的发展、社会的进步和人口的不断增长,能源匮乏和环境污染等问题日益加剧,人们渴望开发一种既可以解决环境污染、又能够提供清洁能源的技术。微生物燃料电池(microbial fuel cell: MFC)通过微生物的催化作用,可以把有机物中的化学能化为电能。在此过程,无需投加电子受体、供氧剂或微生物,直接通过沉积物、土壤或者是污水中的土著微生物来氧化有机物进行发电,从而为解决能源危机以及废水的处理提供了新的思路。目前,有关微生物燃料电池的研究尚处于起步阶段,其中电池中低的电子传递效率,是其主要的应用瓶颈。为此,本实验先对导电微生物种类进行了考察,找出导电菌株的电子传递机制。针对菌种的直接电子传递机制,找到其导电附属物--菌毛的控制基因,即pili 基因。将其插入质粒中,进行菌种改造。以较常使用的工程菌--大肠杆菌为实验对象,利用分子生物学的基础操作,构建重组质粒,而后将重组质粒转入细菌中,利用数据采集器进行改造菌种导电性的测试,考察其导电性能的变化,最后研究该重组质粒的构建在导电菌群中的应用,为其进一步的发展提供重要的理论和技术基础。
本论文的关键在于1)将控制菌毛的基因插入至pET-28a( ),考察pili基因的表达是否能增强电子传递速率,对其导电性产生一定的影响。2)将pili基因插入膜支架系统(membrane scaffold system: MSS),探究膜支架系统作为载体、增强细菌导电性的可行性。
关键词:导电性;膜支架系统;微生物燃料电池;大肠杆菌
The construction of a conductive molecular scaffold for E.coli
Abstract
In the 21st century, along with economic development, social progress and population growth, the people long for developing one kind of novel technologies which can not only solve environmental pollution, but also provide clean energy. Microbial fuel cell (MFC) is a kind of technology, which can transform directly the chemical energy in organic compounds into electricity energy using microorganism as catalyst, and they don’t need add the electron acceptor, oxygen agent or microorganisms, but use the sediment, soil or sewage indigenous microorganisms as catalyst and accept electron from the electrode to oxidate organicmatter in the sediment, soil or sewage, it provides a new train of thought for solving the energy crisis and water body pollution. At present, the research of MFC is in its infancy stage, the chemical oxidation reduction reactions of low electron transfer rate limited the extensive application of MFC. In view of the present main problems of MFC, the key factors influcing the MFC electron transfer rate and the mechanism of bacterial’s conductivity were firstly found through the system analysis in this paper. Then based on E.coli, according to the foundation of molecular biology, we recombinated the plasmid and transferred it into DH5α, testing its electron transfer rate with the data acquisition system. Finally, the application of recombinated plasmid in conductive strain will be studied. These results provide important theoretical and technical basis for the further practical application of MFC.
The key of this paper lies in 1) inserting pili gene into pET-28a( ), it may can improve electron transfer rate, to enhance the conductivity. 2) combinating the pili gene and the membrane scaffold system(MSS), the feasibility of MSS as vector waa discussed.
Key Words: conductivity; membrane scaffold system; microbial fuel cell; E.coli
目 录
摘 要 I
Abstract II
第一章 引言 1
1.1 能源发展和能源问题 1
1.2 微生物电化学技术 1
1.3 微生物燃料电池的研究进展 2
1.3.1 微生物燃料电池的工作原理 2
1.3.2 电子传递机制的研究 2
1.4 膜支架系统介绍 4
1.5 本文研究的目的及主要研究内容 4
第二章 大肠杆菌导电分子支架的构建 5
2.1 材料与方法 5
2.1.1 菌株和质粒 5
2.1.2 实验试剂 5
2.1.3 工具酶、分子量标准和试剂盒 6
2.1.4 实验仪器 6
2.1.5 培养基 7
2.2 重组质粒pili-pET的构建 7
2.2.1 引物的设计 8
2.2.2 插入目的片段的制备 8
2.2.3 克隆载体的制备 9
2.2.4 片段的连接 11
2.2.5 片段的转化 11
2.3 重组质粒pili-Mss的构建 12
2.3.1 引物的设计 12
2.3.2 插入目的片段的制备 12
第三章 结果与讨论 14
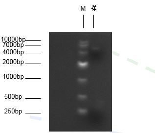
3.1 重组质粒pili-pET的构建 14
3.1.1 目的片段pili-pET的扩增 14
3.1.2 pET-28a( )线性克隆载体的制备 14
3.1.3 重组质粒pili-pET的连接 14
3.2 重组质粒pili-Mss的构建 15
3.2.1 目的片段pili-Mss的扩增 15
3.2.2 Mss线性克隆载体的制备 15
3.2.3 重组质粒pili-Mss的连接 16
第四章 总结与展望 17
参考文献 18
致谢 21
第一章 引言
1.1 能源发展和能源问题
随着科技的发展,人们的生活水平在不断提高。而舒适、便捷的生活离不开能源。能源的开发利用贯穿于人类文明发展的整个过程。进入21世纪,人类社会对能源资源的需求与日俱增,目前主要的能源资源有:化石、天然气、煤等。据报告,按现今的开采速度,这些能源储备量仅够开采60年
。如果新的可替代化学能源体系得不到开发和建立,能源危机将会严重制约到全球经济的发展,影响人们的生活水平,甚至出现各国因为抢占剩余的化石资源而引发世界大战。因此开发和建立新的清洁能源体系,已迫在眉睫。
同时,化石能源的广泛使用所导致的严重的环境污染问题,成为21世纪人类面临的又一大难题。许多备受关注的全球化环境问题如:大气污染和酸雨、放射性物质污染、海洋污染和海洋生态系统的破坏等重大环境问题,均与能源的开采、加工或利用有着密切的关系
。如支持经济发展的造纸、印染、酿酒发酵等行业,在生产过程中会产生大量的有机废水,这些废水加速水体中有机质的富集,引发大量黑臭水体的出现。随意排放和堆放大量未处理的污水/泥,一方面会占用大量土地,破坏附件的生态系统,另一方面还会浪费污泥中的资源,如大量有机物等。因此更科学的处理这些环境问题已成为一项迫在眉睫的环保课题。
1.2 微生物电化学技术
相关图片展示:








