颅内压检测探头的表定与性能检测毕业论文
2020-07-08 21:50:40
摘 要
通过颅内压监测探头灵敏度标定和温度漂移修正,建立标准的标定方法及相应温度漂移的校正方法。方法:本试验采用串联电阻法,通过对比两种不同材料的串联电阻网络法和串联热敏电阻法来分析、探讨颅内压温漂校正的最优方案,并进一步评价两种温漂校正的优缺点。结果:两种方法在25—45℃的温度变化下,仅变化了1.00%,都很有效地实现了温漂的校正,不过热敏电阻法可行性较差,热敏电阻的阻值变化难以控制,实验数据不易确定,串联电阻网络法对实验条件要求较低,数据稳定性高,方便进行颅内压灵敏度温漂的校正。通过对比两种温漂校正方法,串联电阻网络法更为有效的实现了对于颅内压探头灵敏度温漂的校正。结论:串联电阻网络法为最优方案。关键词:颅内压;灵敏度漂移;压力传感器标定;电阻网络;热敏电阻
【Abstract】 Objective: to establish a standard calibration method and corresponding temperature drift correction method by sensitivity calibration and temperature drift correction of intracranial pressure monitoring probe. Methods: this experiment adopts the method of series resistance, by comparing the two different materials of series resistance network and series thermistor method to analyze and explore the optimal scheme of intracranial pressure temperature drift correction, and further to evaluate the advantages and disadvantages of two kinds of temperature drift correction. Results: two methods under 25-45 ℃ temperature change, change only 1.00%, effectively realized the correction of temperature drift, but thermistor method feasibility is poorer, the thermistor resistance changes is difficult to control, the experimental data is not easy to determine, series resistance network with low requirement to the experimental condition, the data stability is high, convenient for intracranial pressure sensitivity temperature drift correction. By comparing the two methods of temperature drift correction, the series resistance network method is more effective in correcting the sensitivity temperature drift of intracranial pressure probe. Conclusion: series resistance network method is the optimal scheme.
Key words:Intracranial pressure;Sensitivity drift;Pressure sensor calibration;Resistor network;Thermistor
目录
摘 要 1
Abstract 2
目录 3
第一章 文献综述 4
1.1颅内压 4
1.1.1简介 4
1.2颅内压的监测 4
1.2.1有创性ICP监测方法 4
1.2.1.1脑室内压监护(VFP) 4
1.2.1.2硬脑膜下压监护(VDP) 5
1.2.1.3硬脑膜外压监护(EDP) 5
1.2.2无创性ICP监测方法 5
1.2.2.1经颅多普勒 5
1.2.2.2视神经鞘直径测量与ICP监测 5
1.2.2.3超声与ICP监测 6
1.3压力传感器及其相关性能参数 6
1.4惠斯登电路板 7
1.5温度灵敏度的校正 8
1.6压力的标定 9
1.7压力传感器零点温漂补偿方法 9
1.7.1误差的由来 9
1.7.2两种温漂补偿方法 10
1.8三种不同的颅内压传感器探头的简介 11
第二章 实验部分 13
2.1 实验仪器 13
2.2实验原理 14
2.2.1监测原理 14
2.2.2监测方法 14
2.2.3实验步骤 15
第三章 结果与讨论 16
3.1自制颅内压探头的性能 16
3.1.1实验原始数据的测量记录 16
3.1.2.1自制颅内压探头的温度标定曲线 16
3.1.2.2自制颅内压探头压力的标准曲线 17
3.2CODMAN进口颅内压探头的性能 18
3.2.1实验原始数据的测量记录 18
3.2.2.1不同温度下CODMAN进口颅内压探头的标准曲线 18
3.2.2.2 CODMAN进口颅内压探头压力的标准曲线 19
3.3 自制颅内压探头水压试验 19
3.3.1实验原始数据的测量记录 19
3.3.2自制颅内压探头水压试验的标准曲线 20
3.4自制颅内压探头硅胶涂层水压试验 20
3.4.1实验原始数据的测量记录 20
3.4.2自制颅内压探头硅胶涂层水压试验 21
3.5两个不同电压下的颅内压探头的温漂校正试验 22
3.5.1自制颅内压探头硅胶涂层4V电压下的温漂校正 22
3.5.2自制颅内压探头硅胶涂层2V电压下的温漂校正 22
3.6温漂验证试验 24
3.6.1串联电阻热补偿试验 24
3.6.2热敏电阻热补偿试验 25
3.7自制压力探头硅胶涂层探头的温度标定验证试验 26
第四章 总结与展望 27
参考文献 28
致谢 32
第一章 文献综述
1.1颅内压
1.1.1简介
颅内压(Intracranial pressure ,ICP),即颅脑内脊液的压力。颅内压的监测对于颅脑类手术的治疗与监控具有重要的意义。近年来,颅内压监测为判定患者病情提供可靠的信息,便于及时做出有效的治疗方案[1]。颅内压监测遭到越来越多神经外科医生的重视和运用[2]。颅内压监测探头在超大重型的颅脑损伤中应用的对照研究较少[3]。我认为研究这一方面具有极大的科学价值[4]。在医学上,颅脑内脊液的压力可以通过侧卧位时脑脊液的压力体现。而且,侧卧位时的脑压又与侧卧位腰椎穿刺[5]的压力比较相近。然而,有时通过侧卧位腰椎穿刺所得的压力与侧卧位时的脑压[6]却存在略微的差别。颅内压是伴随着人体的各项机能的变化以及所处生理状态的改变而变化的[7]。咳嗽、生气、运动等一些正常的生理活动均会引起颅内压的波动[8]。除此以外,各类的神经系统的疾病也极有可能引起颅内压的增高[9]。因此,在整个医护人员治疗的过程中,精确并实时的监护颅内压的变化[10]。
1.2颅内压的监测
1.2.1有创性ICP监测方法
1.2.1.1脑室内压监护(VFP)
脑室内压监护是指头部内置有极微小的显微芯片探头的导管或光学换能器安置在脑实质内[11]。然而,由于传感器放置在脑实质内,无法及时地进行校准调零[12],准确性随着时间的变化会有所降低,并且长期性地使用后,会出现一定的偏差[13]。
1.2.1.2硬脑膜下压监护(VDP)
本监测极为快捷、便利,不过一旦出现监测器与脑膜彼此分离的情况,则会使得监测所得颅内压数据不准确甚至无法监测颅内压[14]。同时,放置时间过长,监测器的灵敏度也会随之降低,因此临床上监测颅内压不经常使用此方法[15]。
1.2.1. 3硬脑膜外压下监护(EDP)
快捷、精确,大大降低了并发症的出现概率,但此类探测方法影响因素较多,难以控制,精确度不易把握 [16]。
1.2.2无创性ICP监测方法
1.2.2.1经颅多普勒
本方法可以定性与定量监测ICP和TCD(Thermal Conductivity Detector)或TCCD(Transcranial color-coded duplex sonography)可以方便快捷、无创性地监测脑血流的早期变化,是床旁定性和定量评价 ICP 及脑血流动力学的重要手段[17]。TCD 或 TCCD 以其无创、操作简便、实时、可重复性的优势,为协助评价血流动力学的脑颅指导临床医治和预后的援助提供了巨大帮助[18]。
1.2.2.2视神经鞘直径测量与 ICP 监测
ICP监测发现 ONSD(optic nerve sheath diameter)能够精确预测 ICP 高于 2.66 kappa 的最佳 cut-off 值为 5.86 ( 敏感度为 95%,特异度为 79%),而当 ONSDlt;5.86 mm 时,患者出现颅内高压情况的可能性很小[19]。Dubourg 等通过将以往对于 ONSD 与 ICP 之间研究进行 Meta 分析,发现利用 ONDS 监测 ICP升高的灵敏度为 90%,特异度为85%。ONSD 超声有着无创、床旁、操作简便等优点[20]。它能在第一时间提醒临床医生颅内高压的出现,这为临床诊治争取时间。虽然是目前没有临界值ONSD统一规范[21],一般认为,在眼球后壁后方ONSD 是3毫米和5毫米,这表明ICP可能上升。但临床应用过 程我们需要注意,使用超声测量 ONSD 来判断重症神经损伤患者 ICP 的监测方法并不能取代有创 ICP 监测,大约有 10% 的 ICP 显著升高患者其 ONSD 会出现假阴性结果。同时 ONSD 的增高也不仅仅只代 表 ICP 增加,尚需排除视神经炎、视神经损伤、视神经蛛网膜囊肿等疾病[22]。同样测量准确性与操作者的 熟练程度及临床经验也密切相关,动态监测视神经鞘直径的改变更具有临床价值[23]。
1.2.2.3超声与 ICP 监测
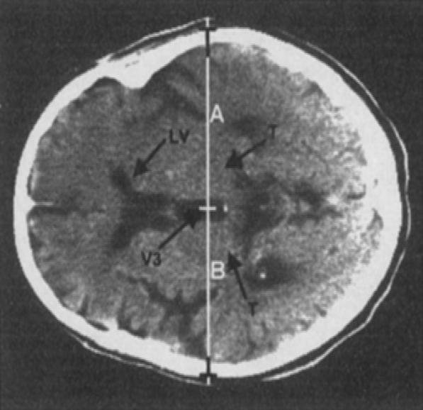
超声结构性评估定性监测 ICP 主要通过中线结构是否存在位移判断。可在图像中间观察到蝴蝶形的低回声的中脑脑干成像。将探头角度向间脑和脑室倾斜可以显示三脑室和侧脑室正面,可见到明显的超声波遇到室管膜正交平面形成的高回声线边界( 又称双轨征 ),即正常的颅脑中线位置[24]。根据双轨征到两侧颅骨的距离是否相等判断颅脑中线移位情况 ( 图 1-1)。


相关图片展示:







您可能感兴趣的文章
- BN嵌入型四苯并五苯:一种工具高稳定性的并五苯衍生物外文翻译资料
- MoS2和石墨烯作为助催化剂在增强的可见光光催化H2生产活性的多臂CdS纳米棒的作用外文翻译资料
- 通过在BiVO4的不同晶面上进行双助剂的合理组装制备高效率的光催化剂外文翻译资料
- 非编码RNA的固相合成研究外文翻译资料
- 氢化驱动的导电Na2Ti3O7纳米阵列作为钠离子电池阳极外文翻译资料
- 高能量及功率密度的可充电锌-二氧化锰电池外文翻译资料
- 利用导电聚合物纳米线阵列来增强电化学性能外文翻译资料
- 自支撑Na2Ti3O7纳米阵列/石墨烯泡沫和石墨烯泡沫准固态钠离子电容器电极外文翻译资料
- 基于碳纳米管金纳米粒子辣根过氧化物酶构建的过氧化氢生物传感器毕业论文
- 新型联二吡啶Pt(II)炔配合物的设计、合成及光物理性质研究毕业论文


